广东民安医院怎么样肠息肉切除后到底多久复查一次?
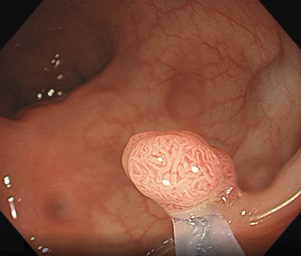
发现和切除是切除息肉最为重要的手段。

然而并不是做过一次切除掉息肉就可以一生无忧,后续还需要根据息肉的性质、大小、数目等决定如何复查。

针对这个问题,美国结直肠癌多学会工作组(U.S.Multi-Society Task Force on Colorectal Cancer)发布了最新更新。

具体的随访方案简要如下:
1、单次检查发现20个以下<10 mm的增生性息肉的患者应在10年内接受监测;
2、有1~2个<10 mm息肉的患者应在7~10年内接受肠镜监测;
3、有3~4个<10 mm息肉的患者应在3~5年内接受监测;
4、有腺瘤有绒毛成分或高度不典型增生的患者应在3年内接受监测;
5、有10个以上腺瘤性息肉的患者应在1年内接受监测;
7、有2个<10 mm的无蒂锯齿状息肉(SSP)的患者应在3~5年内接受监测;
8、有5~10个SSP、≥10 mm的SSP、SSP伴不典型增生或传统锯齿状腺瘤的患者应在3年内接受监测。
我国建议的肠镜复查方案
临床上通常根据结肠镜病理检查结果、切除完整性、肠道准备、健康状况、息肉家族史和既往病史等来决定复查时间;
对有下列情况时建议短期在3~6月内复查一次肠镜:
(1)肠道准备欠佳,影响检查视野者;
(2)因各种原因上次未能完成全结肠检查者;
(3)一次切除息肉总数超过10个者;
(5)大于1 cm的广基息肉采用分片切除者;
(6)大于1 cm绒毛息肉伴重度异型增生;
(7)息肉已局部癌变未达黏膜下层或超过黏膜不层不愿追加手术切除者。
同时,如果曾经有结肠息肉病史、家族史的病人,也应该加大复查频度。
潮尚生活网部分内容来源于互联网,登载此文出于传递更多信息之目的,并不意味着赞同其观点或证实其描述。文章内容仅供参考,如有侵犯版权请来信告知E-mail,我们将立即处理。


